..


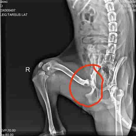
Сделали рентген, проконсультировались с несколькими хирургами и приняли решение. 19 марта 2022 года будет операция.
Делать будем у нашего любимого хирурга Игоря Евгеньевича из клиники Дельта в Бирюлёво, он не раз уже собирал, как говориться, наших бедняг по частям и они сейчас ходят на своих лапках.
Стоимость самой операции 20000 руб.
Для нас это большая сумма. И снова я вас прошу о помощи 🙏🙏🙏
Карты Сбербанк и Тинькофф привязаны к моему номеру телефона 89151272692 Алла с пометкой "Фокс"
После операции Фокс поедет скорее всего в приют в ветеринарный блок. Если вдруг случится чудо и кто то захочет взять после операции Фокса на передержку с реабилитацией и до пристройства за корм, будет просто 🔥🔥🔥
Всём привет. У нас новый подопечный, зовут его Фокс, по возрасту примерно месяцев 10. Фокса высадили из машины на базе Подольска, просто тупо выкинули, скорее всего из за его проблемы с лапкой. Сотрудники базы это увидели по камерам наблюдения и связались с нами.
И вот у Фокса новая страничка в жизни и она начинается с испытания. Проблема с тазобедренным суставом. Пока он ещё молодой и идёт рост нужно принимать решение, потом при закостенении сустава это будут сильные боли.
Сделали рентген, проконсультировались с несколькими хирургами и приняли решение. 19 марта 2022 года будет операция.
Делать будем у нашего любимого хирурга Игоря Евгеньевича из клиники Дельта в Бирюлёво, он не раз уже собирал, как говориться, наших бедняг по частям и они сейчас ходят на своих лапках.
Стоимость самой операции 20000 руб.
Для нас это большая сумма. И снова я вас прошу о помощи 🙏🙏🙏
Карты Сбербанк и Тинькофф привязаны к моему номеру телефона 89151272692 Алла с пометкой "Фокс"
После операции Фокс поедет скорее всего в приют в ветеринарный блок. Если вдруг случится чудо и кто то захочет взять после операции Фокса на передержку с реабилитацией и до пристройства за корм, будет просто 🔥🔥🔥
Всём привет. У нас новый подопечный, зовут его Фокс, по возрасту примерно месяцев 10. Фокса высадили из машины на базе Подольска, просто тупо выкинули, скорее всего из за его проблемы с лапкой. Сотрудники базы это увидели по камерам наблюдения и связались с нами.
И вот у Фокса новая страничка в жизни и она начинается с испытания. Проблема с тазобедренным суставом. Пока он ещё молодой и идёт рост нужно принимать решение, потом при закостенении сустава это будут сильные боли.


Комментарии